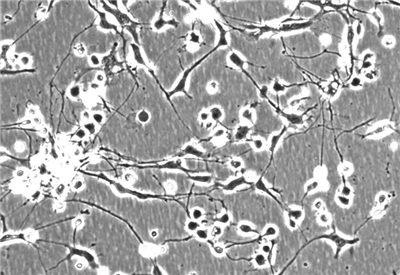
产品名称:HCGC;人小脑颗粒细胞(原代细胞)
ScienCell:1530
5×10^5个细胞/瓶
来自ScienCell研究实验室的HCGC从人类小脑中分离出来。HCGC在P0冷冻保存并冷冻。每个小瓶含有>1×10^6个细胞,1ml体积。HCGC的特征在于用对神经丝,MAP2和β-微管蛋白III特异的抗体的免疫荧光。HCGC对HIV-1,HBV,HCV,支原体,细菌,酵母和真菌均为阴性。HCGC保证在ScienCell研究实验室提供的条件下进一步培养; 然而,HCGC不推荐用于扩增或长期培养,因为细胞不在培养物中增殖。
该产品仅供研究使用。它未被批准用于人类,动物或体外诊断程序。
经检测无支原体、细菌、酵母和真菌污染
 
小脑的发育涉及一组协调的细胞运动和两个独立的增殖区:心室区和外部颗粒细胞层(EGL),一个菱形唇衍生的祖细胞池[1]。EGL在早期小脑形成期间出现分离,仅产生颗粒细胞。小脑颗粒细胞(CGC)是大脑中丰富的神经元,在人类中约为1×10 ^ 11 [2]。它们的轴突沿着冠状轴作为平行纤维运行,并且由这种排列产生的一维激发扩散是小脑功能理论中的关键假设。CGC接受来自高尔基体细胞的抑制性突触输入,其由γ-氨基丁酸(GABA)介导。在体内和体外发育期间,CGC依赖于NMDA谷氨酸受体亚型的存活和*分化活性[3]。培养的CGC被广泛用作研究神经细胞凋亡的模型系统。
| 鼠胚成纤维细胞系(STO) | 
| 小鼠淋巴结血管上皮样细胞SVEC4-10 | 
| 人骨肉瘤细胞 | 
| 人肾上腺皮质腺癌细胞 | 
| 人结肠癌细胞系(SW480) | 
公司优势:
1)质量:我司提供的的细胞为世界ATCC和Sciencell
2)价格:价格实惠,量大从优,产品价格随时会变动,实时报价还请来电获取。
4)服务:提供完整的售前、售后和售中服务。售后到底
在接收时将细胞从干冰直接并立即转移至液氮,并将细胞保持在液氮中直至实验需要细胞培养。
晅科生物致力于为国内科研用户提供*质的产品,完善的服务。帮助您实验顺利。视天气状况和运输距离远近,公司与客户协商
晅科生物为研究界提供各种高质量的正常人和动物细胞,细胞培养基和试剂,基因分析工具,细胞衍生的分子生物学产品,基于细胞的检测试剂盒和干细胞产品。
客户在细胞培养过程中,有任何技术问题可以联系售后服务
客户应具有一定细胞培养知识与经验,并具备基本实验设备,如细胞培养实验室、无菌操作台、CO2培养箱,倒置显微镜等;还应准备好相应的无菌培养基、血清、双抗、细胞培养瓶、培养板等。
如需订购HCGC;人小脑颗粒细胞(原代细胞),请联系我们。
此外公司还提供:
| 人肝癌细胞 | 
| 小鼠骨髓瘤细胞 | 
| 人肺癌细胞系(SPC-A1) | 
| 小鼠SRSV转化的3T3细胞 | 
| 猪睾丸细胞系(ST) |