产品名称:HS;人滑膜细胞(原代细胞)
ScienCell:4700
5×10^5个细胞/瓶
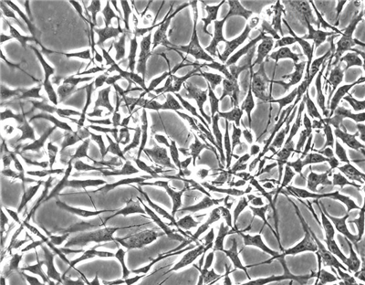
来自ScienCell研究实验室的HS从人滑膜中分离出来。HS在*代冷冻保存并冷冻。每个小瓶含有>5×10^5个细胞,1ml体积。HS的特征在于成纤维细胞样形态和用CD90和纤连蛋白特异性抗体的免疫荧光。HS对HIV-1,HBV,HCV,支原体,细菌,酵母和真菌均为阴性。在ScienCell研究实验室提供的条件下,HS可保证15次倍增。
该产品仅供研究使用。它未被批准用于人类,动物或体外诊断程序。
经检测无支原体、细菌、酵母和真菌污染
 
人滑膜细胞(HS)是健康滑膜组织的主要细胞类型,是成纤维细胞样细胞。滑膜细胞形成一种称为滑膜衬里层的*结构[1]。滑膜细胞产生滑液,负责从关节腔吸收并控制血液/滑液交换。滑膜细胞增殖,显示不依赖贴壁的生长,并分泌促进炎症和关节破坏的多种效应分子。此外,它们是自分泌和旁分泌作用因子的复杂网络的一部分。滑膜细胞为滑膜组织和形态发生提供了新的见解,是一种潜在的治疗靶点[2]。
| 转基因细胞 | 
| 大鼠肝癌细胞 | 
| 小鼠T淋巴细胞瘤细胞 | 
| 小鼠骨髓细胞 | 
| 小鼠垂体瘤细胞 | 
晅科生物为研究界提供各种高质量的正常人和动物细胞,细胞培养基和试剂,基因分析工具,细胞衍生的分子生物学产品,基于细胞的检测试剂盒和干细胞产品。
客户在细胞培养过程中,有任何技术问题可以联系售后服务
参考:
[1]D(1962)人滑膜的电子显微镜检查。J Cell Biol。14:207-220。
[2]MB(2005)构建滑膜:钙粘蛋白-11介导成纤维细胞样滑膜细胞细胞间粘附。Arthritis Res Ther。7(2):49-54。
晅科生物致力于为国内科研用户提供*质的产品,完善的服务。帮助您实验顺利。视天气状况和运输距离远近,公司与客户协商
1、从正常人、病人、小鼠、大鼠、兔、猪、牛等等组织中对原代细胞进行分离、培养、鉴定:我们将以客户要求为标准,提供多种属如正常人、病人、小鼠、大鼠、兔、猪、牛、其它动物原代细胞的分离、培养、鉴定,并提供相应的文件、资料、数据和检测证书。对于人源性细胞,必要时,在许可的条件下,我们尽可能的满足客户所提供的要求。
2、从建立实验性疾病动物(小鼠、大鼠、兔)模型体内组织中对原代细胞进行分离、培养、鉴定: 我们将以客户要求,建立标准实验性疾病动物模型,或客户提供实验性疾病动物模型,对原代细胞进行分离、培养、鉴定,并提供相应的文件、资料、数据和检测证书。 
3、NK、γδT、CD3AK、DC、CIK等特定免疫细胞的分离、诱导、表型鉴定、扩增和定向改造。
公司优势:
1)质量:我司提供的的细胞为世界ATCC和Sciencell
2)价格:价格实惠,量大从优,产品价格随时会变动,实时报价还请来电获取。
4)服务:提供完整的售前、售后和售中服务。售后到底
如需订购HS;人滑膜细胞(原代细胞),请联系我们。
此外公司还提供:
| 大鼠皮层神经元细胞 | 
| 大鼠主动脉平滑肌细胞 | 
| 小鼠小胶质瘤细胞 | 
| 鼠杂交骨髓瘤细胞 | 
| 大鼠脑膜细胞 |