您的位置: 网站首页 >> 产品中心 >> >> 抗体 > α晶状体球蛋白B/αB-crystallin抗体
产品名称:

α晶状体球蛋白B/αB-crystallin抗体

产品型号: 产品时间: 2023-03-08
晶体蛋白分为两类:分类单元特异性,或酶,和普遍存在。后一类构成脊椎动物眼晶状体的主要蛋白质,维持晶状体的透明度和折射率。由于晶状体中央纤维细胞在发育过程中失去了细胞核,这些晶体蛋白被制造出来并在一生中保留下来,使它们成为极其稳定的蛋白质。哺乳动物晶体蛋白分为α、β和γ家族;β和γ晶体蛋白也被认为是超家族。α族和β族进一步分为酸性和碱性两类。α晶状体球蛋白B/αB-crystallin抗体。

产品概述

英文名称:Anti-Alpha B Crystallin​

中文名称:α晶状体球蛋白B/αB-crystallin抗体

抗体来源:兔

克隆类型:多克隆

交叉反应:人、大鼠、小鼠、狗、猪、牛、马​

产品应用:ELISA=1:500-1000 IHC-P=1:400-800 IHC-F=1:400-800 ICC=1:100-500 IF=1:100-500 ​(石蜡切片需做抗原修复)

尚未在其他应用程序中测试。

用户终应确定合适稀释浓度。

分子量:20kDa

细胞定位:细胞核 细胞浆

状态:冻干或液体

浓度:1mg/ml

来源于:KLH conjugated synthetic peptide derived from human Alpha B Crystallin.:51-150/175

亚型:IgG

纯化方法:affinity purified by Protein A

储存液:0.01M TBS(pH7.4) with 1% BSA, 0.03% Proclin300 and 50% Glycerol.

​别    名:CRYAB; CRYA2; Alpha crystallin B chain; AACRYA; Alpha B crystalline; Alpha crystallin B chain; Alpha(B) crystalline; Alpha(B)-crystallin; Alpha-crystallin B chain; CRYAB_HUMAN; Crystallin alpha B; Crystallin alpha polypeptide 2; CTPP 2; CTPP2; Heat shock 20 kD like protein; Heat shock protein beta 5; Heat shock protein beta-5; HSPB5; NY REN 27 antigen; Renal carcinoma antigen NY REN 27; Renal carcinoma antigen NY-REN-27; Rosenthal fiber component.

保存条件:在-20°C下保存一年。避免重复冻融循环。冻干抗体在室温下至少稳定一个月,并在-20°C下保持一年以上。当在无菌pH7.4 0.01M PBS或抗体稀释剂中重组时,抗体在2-4°C下至少稳定两周。

产品介绍

晶体蛋白分为两类:分类单元特异性,或酶,和普遍存在。后一类构成脊椎动物眼晶状体的主要蛋白质,维持晶状体的透明度和折射率。由于晶状体中央纤维细胞在发育过程中失去了细胞核,这些晶体蛋白被制造出来并在一生中保留下来,使它们成为极其稳定的蛋白质。哺乳动物晶体蛋白分为α、β和γ家族;β和γ晶体蛋白也被认为是超家族。α族和β族进一步分为酸性和碱性两类。晶体蛋白中存在七个蛋白质区:四个同源基序、一个连接肽和N-和C-末端延伸。α-晶体蛋白由两种基因产物组成:α-A和α-B,分别用于酸性和碱性。α-晶体蛋白可由热休克诱导,是小热休克蛋白(shsp,也称为hsp20)家族的成员。它们作为分子伴侣发挥作用,尽管它们不使蛋白质再生,并以真正伴侣的形式释放它们;相反,它们以大的可溶性聚集物形式持有它们。翻译后修饰降低了陪同能力。这些异质聚集体由30-40个亚单位组成;α-a和α-b亚单位的比例分别为3:1。α-晶体蛋白的两个附加功能是自身激酶活性和参与细胞内结构。α-a和α-b基因产物的表达存在差异;α-a优先局限于晶状体,α-b在许多组织和器官中广泛表达。α-B晶体蛋白的高表达发生在许多神经系统疾病中;一个与结蛋白相关的肌病家族中的错义突变。[由RefSeq提供,2008年7月]。

 

功能:

可能有助于透镜的透明度和折射率。具有伴侣样活性,在各种应激条件下阻止各种蛋白质聚集。

 

Subunit:

由三个cryaa和一个cryab亚单位组成的杂化聚合物。与同源蛋白(包括小的热休克蛋白hspb1)聚集形成大的异聚体复合物。通过锌离子的亚单位间桥接增强了稳定性,这是至关重要的,因为晶状体中没有蛋白质翻转。与hspbap1和ttn/titin相互作用。

 

亚细胞位置:

细胞质。细胞核。注=在热休克期间转移到核,并位于称为SC35斑点或核拼接斑点的亚核结构中。

 

组织特异性:

晶状体和其他组织。

 

疾病:

cryab缺陷是导致肌病的2型肌原纤维(mfm2)[mim:608810]。一种神经肌肉疾病,导致近端和远端肢体肌肉无力、颈部无力、腭咽和躯干肌肉无力、嗜碱性心肌病和白内障。

[疾病]cryab缺陷是白内障后极2型(ctpp2)的原因[mim:613763]。位于晶状体背面的包膜下不透明度,通常为圆盘状。它对视力有显著影响。

[疾病]cryab缺陷是导致肌病、肌原纤维致命的婴儿高渗α-b晶体蛋白相关(mffih-cryab)[mim:613869]的原因。mffih-cryab是一种肌营养不良,在正常新生儿期后的*周发病。受累婴儿的躯干和四肢出现快速进行性肌肉僵硬,伴有呼吸困难,导致3岁之前死亡。

 

相似性:

属于小热休克蛋白(hsp20)家族。

 

重要注意事项:

本产品仅用于研究用途,不用于人类、治疗或诊断应用。

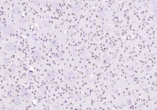
​多聚甲醛固定,石蜡包埋(小鼠脑组织);用柠檬酸钠缓冲液(pH6.0)煮沸15min后获得抗原;用3%过氧化氢阻断内源性过氧化物酶20分钟;在37℃下封闭缓冲液(正常山羊血清)30min;用(Alpha B Crystallin)多克隆抗体进行抗体孵育。在4°C下1:400整晚,然后根据SP试剂盒(兔子)说明和DAB染色进行操作。

公司优势:
1)质量:我司提供的的试剂为世界。
2)价格:价格实惠,量大从优。
4)服务:提供完整的售前、售后和售中服务。售后到底。

如需订购α晶状体球蛋白B/αB-crystallin抗体​​​​​,请联系我们。

Anti-MADCAM-1(-Mucosal addressin cellular adhesion molecule-1)  粘膜选址素抗体
Anti-MAG-a/b (Myelin associated glycoprotein; L / S -MAG;)  髓鞘相关糖蛋白a/b抗体
Anti-MAG-a/L-MAG (Myelin associated glycoprotein)  髓鞘相关糖蛋白-a抗体
Anti-MAGE-1/HLA-A1 protein (melanoma antigen family A member 1)  黑素瘤抗原-1抗体
Anti-MAPKK1 (MAP kinase kinase 1)  丝裂原活化蛋白激酶激酶1
Anti-MAPKK2 (MAP kinase kinase 2)  丝裂原活化蛋白激酶激酶2抗体

留言框

  • 产品:

  • 您的单位:

  • 您的姓名:

  • 联系电话:

  • 常用邮箱:

  • 省份:

  • 详细地址:

  • 补充说明:

  • 验证码:

    请输入计算结果(填写阿拉伯数字),如:三加四=7
分享到:
版权所有©2019 上海晅科生物科技有限公司 备案号:京ICP证000000号
  • 扫一扫,关注我们