英文名称:Anti-phospho-Bim (Ser87)
中文名称:磷酸化细胞死亡调解子抗体(p-Bim)
抗体来源:兔子
克隆类型:多克隆
交叉反应:人、小鼠、大鼠、狗、猪、牛、马、羊
产品应用:WB=1:500-2000 ELISA=1:500-1000 IHC-P=1:100-500 IHC-F=1:100-500 IF=1:100-500(石蜡切片需做抗原修复)
分 子 量:22kDa
细胞定位:细胞浆 细胞膜
状态:冻干或液体
浓度:1mg/ml
来源于:KLH conjugated Synthesised phosphopeptide derived from human Bim around the phosphorylation site of Ser87:RS(p-S)LL
亚型:IgG
纯化方法:affinity purified by Protein A
储存液:0.01M TBS(pH7.4) with 1% BSA, 0.03% Proclin300 and 50% Glycerol.
别 名:BCL2 like 11; Apoptosis facilitator;BAM; Bcl 2 interacting mediator of cell death; Bcl 2 interacting protein Bim; Bcl 2 like protein 11; Bcl 2 related ovarian death agonis; Bcl 2 related ovarian death agonist; BCL2 interacting mediator of cell death; BCL2 interacting protein Bim; BCL2 like 11 (apoptosis facilitator); BCL2 like 11; BCL2 like 11 apoptosis facilitator; BCL2 like protein 11; BCL2 related ovarian death agonist; BCL2L11; BIM alpha3; BIM alpha4; BIM alpha5; BIM alpha6; BIM; BIM beta6; BIM beta7; BimEL; BimL; BOD; B2L11_HUMAN.
保存条件:在-20°C下保存一年。避免反复冻融。冻干抗体在室温下至少稳定一个月,并在-20°C下保持一年以上。当在无菌pH7.4 0.01M PBS或抗体稀释剂中重组时,抗体在2-4°C下至少稳定两周。
产品介绍:
BIM,bcl-2细胞死亡的相互作用介质,是一种促凋亡蛋白,属于bcl2蛋白家族,包含bcl2同源域3(bh3)。它具有促凋亡作用,通过与bcl2、bclxl和bclw等bcl2家族的前生成员相互作用发挥作用。通过与微管相关的动力蛋白运动复合体结合,BIM被固定为非活性构象。某些凋亡刺激从微管释放BIM,允许抑制性结合到抗凋亡的bcl-2家族成员和随后的凋亡结束。
功能:
诱导细胞凋亡。亚型BIML比亚型BIML更有效。BIM-alpha1亚型、BIM-alpha2亚型和BIM-alpha3亚型虽然不如BIMEL、BIML和BIMS亚型有效,但能诱导细胞凋亡。BIMγ亚型诱导细胞凋亡。
子单元:
与许多抗凋亡的bcl-2蛋白形成异二聚体,包括mcl1、bcl2、bcl2 l 1亚型bcl-x(l)、bcl2a1/bfl-1和bhrf1。不与BAD、BOK、BAX或BAK等促凋亡蛋白异二聚体化。
亚细胞位置:
膜内系统;外周膜蛋白。注=与细胞质膜相关。双分子异构体:线粒体。异构体BIML:线粒体。异构体BIM:线粒体。异构体BIM-alpha1:线粒体。
组织特异性:
亚型bimel、亚型biml和亚型bims是主要的亚型,并以组织特异性变化普遍表达。BIMγ亚型在小肠和结肠中的表达为丰富,在脾脏、前列腺、睾丸、心脏、肝脏和肾脏中的表达也较低。
相似性:
属于BCL-2家族。
重要提示:
本产品仅用于研究用途,不用于人类、治疗或诊断应用
Bim是Bcl-2家族BH3-only亚家族的成员,是一种重要的凋亡调节蛋白,具有助凋亡活性作用。Bim广泛表达于正常细胞,对防御自身免疫、维持造血细胞稳态有重要意义,并具有肿瘤抑制因子活性.Bim的生理作用与它调节细胞凋亡的功能有关。
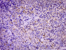
多聚甲醛固定,石蜡包埋(大鼠脾脏);经柠檬酸钠缓冲液(pH6.0)煮沸15min后获得抗原;用3%过氧化氢阻断内源过氧化物酶20分钟;阻断缓冲液(正常山羊血清)在37℃下30min;用(phospho Bim(Ser77))进行抗体孵育。未结合的多克隆抗体在1:500下在4°C下过夜,然后结合二级20分钟,DAB染色。
公司优势:
1)质量:我司提供的的试剂为世界。
2)价格:价格实惠,量大从优。
4)服务:提供完整的售前、售后和售中服务。售后到底。
如需订购磷酸化细胞死亡调解子抗体(p-Bim),请联系我们。
| Anti-DPPA2 (developmental pluripotency associated gene2) 多能发育相关基因2抗体 | 
| Anti-DR3/TNF-αR/TRAMP (death receptor 3) TNF-α膜受体抗体/DR3 死亡受体3抗体 | 
| Anti-DR4/APO2/TRAILR1 (Death receptor 4) 死亡受体4抗体 | 
| Anti-DTNBP1 (Dysbindin-1) 精神分裂症易感基因抗体 | 
| Anti-DVL1 (dishevelled 1) 蓬乱蛋白1抗体 | 
| Anti-Dynamin 2(Mouse Anti-Human Dynamin-2 Monoclonal Antibody) 鼠抗人鸟苷三磷酸酶-发动蛋白2单克隆抗体 |