英文名称:Anti-phospho-BRIP1/BACH1 (Ser990)
中文名称:磷酸化乳腺癌易感基因相互作用蛋白1抗体
抗体来源:兔子
克隆类型:多克隆
交叉反应:人,小鼠,牛,羊
产品应用:ELISA=1:500-1000 IHC-P=1:100-500 IHC-F=1:100-500 IF=1:100-500(石蜡切片需做抗原修复)
分 子 量:141kDa
细胞定位:细胞核
状态:冻干或液体
浓度:1mg/ml
来源于:KLH conjugated Synthesised phosphopeptide derived from human BRIP1 around the phosphorylation site of Ser990:ST(p-S)PT
亚型:IgG
纯化方法:affinity purified by Protein A
储存液:0.01M TBS(pH7.4) with 1% BSA, 0.03% Proclin300 and 50% Glycerol.
别 名:BACH 1; BACH-1; BRAC 1 Associated C Terminal Helicase 1; BRCA 1 Interacting Protein 1; BRCA1 binding helicase like protein BACH1; BRCA1 interacting protein C terminal helicase 1; BRIP 1; BRIP-1; FANCJ; ATP dependent RNA helicase BRIP1; Fanconi anemia group J protein; FLJ90232; MGC126521; MGC126523; OF antibody Protein FACJ; FANCJ_HUMAN.
保存条件:在-20°C下保存一年。避免反复冻融。冻干抗体在室温下至少稳定一个月,并在-20°C下保持一年以上。当在无菌pH7.4 0.01M PBS或抗体稀释剂中重组时,抗体在2-4°C下至少稳定两周。
产品介绍:
该基因编码一个转录因子,属于碱性区亮氨酸拉链因子家族(CNC Bzip)的帽领型。编码蛋白包含广泛的复合物、tramrack、bric-a-brac/poxvirus和锌指(btb/poz)结构域,这是CNC Bzip家族成员的非典型。这些btb/poz结构域促进蛋白质-蛋白质相互作用和形成同型和/或异低聚物。当这种编码蛋白与mafk形成异二聚体时,它作为maf识别元件(mare)的阻遏物发挥作用,转录被抑制。已经鉴定出该基因的多个选择性剪接转录变体。[由RefSeq提供,2009年5月]。
功能:
作为抑制因子或激活因子的转录调节因子。体外与NF-E2结合位点结合。在mafk调控转录激活和抑制中起重要作用。
亚细胞位置:
原子核。
相似性:
属于bzip家族。CNC子家族。
包含1个BTB(POZ)域。
包含1个bzip域。
重要提示:
本产品仅用于研究用途,不用于人类、治疗或诊断应用
 
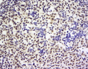
组织/细胞:小鼠胚胎组织;4%多聚甲醛固定石蜡包埋;
抗原提取:柠檬酸缓冲液(0.01M,pH 6),15min煮沸,用3%过氧化氢阻断内源性过氧化物酶30min;37℃下阻断缓冲液(正常山羊血清)20 min;
孵育:抗Bach 1多克隆抗体,未结合1:200,在4°C下过夜,然后接合二级抗体和DAB染色。
公司优势:
1)质量:我司提供的的试剂为世界。
2)价格:价格实惠,量大从优。
4)服务:提供完整的售前、售后和售中服务。售后到底。
如需订购磷酸化乳腺癌易感基因相互作用蛋白1抗体,请联系我们。
| Anti-Nogo-B 轴索过度生长抑制因子-B抗体 | 
| Anti-NOS-1/bNOS/neuronal NOS/nNOS(Nitric Oxide synthase-1) 一氧化氮合成酶-1抗体(神经型) | 
| Anti-NOS-2/iNOS (Nitric Oxide Synthase,Inducible) 一氧化氮合成酶-2抗体(诱导型) | 
| Anti-NOS-3/eNOS (endotheli cell NOS) 一氧化氮合成酶-3抗体(内皮型) | 
| Anti-Nox-4/NADH(NADPH oxidase 4) NADPH氧化酶4抗体 |