英文名称:Anti-BRCAA1
中文名称:乳腺癌相关抗原BRCAA1抗体
抗体来源:兔子
克隆类型:多克隆
交叉反应:人、小鼠、大鼠、鸡、狗、牛、马
产品应用:ELISA=1:500-1000 IHC-P=1:100-500 IHC-F=1:100-500 IF=1:100-500(石蜡切片需做抗原修复)
分 子 量:148kDa
细胞定位:细胞核 细胞浆
状态:冻干或液体
浓度:1mg/ml
来源于:KLH conjugated synthetic peptide derived from human BRCAA1:21-120/1312
亚型:IgG
纯化方法:affinity purified by Protein A
储存液:0.01M TBS(pH7.4) with 1% BSA, 0.03% Proclin300 and 50% Glycerol.
别 名:ARID 4B; ARID domain-containing protein 4B; ARID4B; AT rich interactive domain 4B (Rbp1 like); AT rich interactive domain 4B; BCAA; BRCAA 1; BRCAA1; Breast cancer associated antigen 1; Breast cancer associated antigen BRCAA 1; Breast cancer associated antigen BRCAA1; Breast carcinoma associated antigen; Histone deacetylase complex subunit SAP180; Rb binding protein homolog; RBBP1 L1; RBBP1L1; Rbp 1 like; Rbp1 l1; Rbp1 like; RBP1 like protein; RBP1L; Rbp1l1; Retinoblastoma binding protein 1 like 1; SAP 180; SAP180; SIN3A associated protein 180; ARI4B_HUMAN.
保存条件:在-20°C下保存一年。避免反复冻融。冻干抗体在室温下至少稳定一个月,并在-20°C下保持一年以上。当在无菌pH7.4 0.01M PBS或抗体稀释剂中重组时,抗体在2-4°C下至少稳定两周。
产品介绍:
该基因编码一种与视网膜母细胞瘤结合蛋白-1序列相似的蛋白质。编码蛋白是组蛋白脱乙酰基酶依赖性Sin3a转录共加压复合物的一个亚单位,在包括增殖、分化、凋亡、肿瘤发生和细胞命运测定在内的多种细胞过程中发挥作用。该基因产物由乳腺癌患者分离出的IgG抗体识别,似乎是一种与广泛人类恶性肿瘤相关的分子标记物。编码不同亚型的替代转录剪接变异体已经被描述。[由RefSeq提供,2008年7月]。
功能:
作为转录抑制因子。可能在sin3a共压复合物的组装和/或酶活性中起作用,或在复合物和其他调节复合物之间的相互作用中起作用。
子单元:
SIN3A压芯机复合体的组成部分,由SIN3A、SAP130、SUDS3/SAP45、SAP180、HDAC1和HDAC2组成。
亚细胞位置:
核(通过相似性)。细胞质。注=乳腺癌细胞的细胞质。
组织特异性:
在睾丸和乳腺癌、肺癌、结肠癌、胰腺癌和卵巢癌中高度表达。在胸腺、前列腺和卵巢低水平表达。
相似性:
包含1 ARID 域。
重要提示:
本产品仅用于研究用途,不用于人类、治疗或诊断应用
 
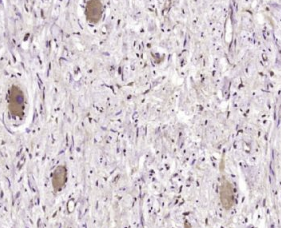
多聚甲醛固定,石蜡包埋(人卵巢癌);用柠檬酸钠缓冲液(pH6.0)煮沸15min后提取抗原;用3%过氧化氢阻断内源性过氧化物酶20分钟;阻断缓冲液(正常山羊血清)37℃30min;用BRCAA1抗体进行抗体孵育未结合的单克隆抗体在1:400下在4°C下过夜,然后根据SP试剂盒(兔子)说明和DAB染色进行操作。
公司优势:
1)质量:我司提供的的试剂为世界。
2)价格:价格实惠,量大从优。
4)服务:提供完整的售前、售后和售中服务。售后到底。
如需订购乳腺癌相关抗原BRCAA1抗体,请联系我们。
| Anti-OAT-3(Organic anion transporter 3) 阴离子转运蛋白-3抗体 | 
| Anti-OAT4L/URAT1 (Urate Transporter 1) 尿酸盐重吸收转运子1抗体 | 
| Anti-OCT1 (organic cat-ion transporter1) 阳离子转运器1抗体 | 
| Anti-OCT2 (organic cat-ion transporter2) B细胞特异性转录因子抗体 | 
| Anti-Oct-4 antibody 胚胎干细胞关键蛋白抗体 |