您的位置: 网站首页 >> 产品中心 >> >> 抗体 > 活化半胱胺酸蛋白酶蛋白-3单克隆抗体
产品名称:

活化半胱胺酸蛋白酶蛋白-3单克隆抗体

产品型号: 产品时间: 2023-03-08
半胱氨酸蛋白酶的半胱天冬酶家族在细胞凋亡中起着关键作用。半胱天冬酶3是半胱天冬酶家族成员中研究较广泛的凋亡蛋白。半胱天冬酶3被合成为非活性原酶,在细胞凋亡过程中通过自身蛋白水解和/或被其他上游蛋白酶(如半胱天冬酶8、9和10)分解。半胱天冬酶3的加工形式由大(17kDa)和小(12kDa)亚单位组成,这些亚单位结合形成一种活性酶。活化半胱胺酸蛋白酶蛋白-3单克隆抗体

产品概述

英文名称:Anti-Active Caspase 3​​

中文名称:活化半胱胺酸蛋白酶蛋白-3单克隆抗体

抗体来源:小鼠

克隆类型:单克隆

交叉反应:人、大鼠、小鼠

产品应用:WB=1:500-2000 ELISA=1:500-1000 IHC-P=1:400-800 IHC-F=1:400-800 ICC=1:100-500 IF=1:100-500(石蜡切片需做抗原修复)

尚未在其他应用程序中测试。

用户终应确定合适稀释浓度。

分子量:28kDa

细胞定位:细胞浆

状态:冻干或液体

浓度:1mg/ml

来源于:Recombinant human Active Caspase 3: ​

亚型:IgG

纯化方法:affinity purified by Protein A

储存液:0.01M TBS(pH7.4) with 1% BSA, 0.03% Proclin300 and 50% Glycerol.

​别    名:Caspase-3 subunit p17; APOPAIN; CASP3; Caspase 3 apoptosis related cysteine protease; Caspase3; CPP32; CPP32B; Cysteine protease CPP32; Human cysteine protease CPP32 isoform alpha mRNA complete cds; PARP cleavage protease; SCA 1; SCA1; SREBP cleavage activity 1; Yama; CASP3_HUMAN; Caspase-3; CASP-3; Apopain; Protein Yama; SREBP cleavage activity 1; SCA-1.  ​

保存条件:在-20°C下保存一年。避免重复冻融循环。冻干抗体在室温下至少稳定一个月,并在-20°C下保持一年以上。当在无菌pH7.4 0.01M PBS或抗体稀释剂中重组时,抗体在2-4°C下至少稳定两周。

产品介绍

半胱氨酸蛋白酶的半胱天冬酶家族在细胞凋亡中起着关键作用。半胱天冬酶3是半胱天冬酶家族成员中研究广泛的凋亡蛋白。半胱天冬酶3被合成为非活性原酶,在细胞凋亡过程中通过自身蛋白水解和/或被其他上游蛋白酶(如半胱天冬酶8、9和10)分解。半胱天冬酶3的加工形式由大(17kDa)和小(12kDa)亚单位组成,这些亚单位结合形成一种活性酶。caspase 3在asp28 ser29和asp175 ser176处被切割。活性半胱天冬酶3蛋白水解酶并激活其他半胱天冬酶(如半胱天冬酶6、7和9),以及细胞中的相关靶点(如parp和dff)。该基因的选择性剪接导致两个转录变体编码相同的蛋白质。在免疫组化研究中,半胱天冬酶3的表达广泛存在,但并非所有细胞类型都存在(例如皮肤上皮细胞、肾近端小管和集合管中常见)。caspase 3的水平在短寿命自然细胞(如生发中心B细胞)和长寿命细胞(如套带B细胞)中有差异。半胱天冬酶3是参与淀粉样β4a前体蛋白分裂的主要半胱天冬酶,与阿尔茨海默病的神经元死亡有关。

与caspase-3亚单位p17和前体反应。

 

功能:

参与caspase的激活级联,负责凋亡的执行。在细胞凋亡开始时,它蛋白水解地将聚(ADP核糖)聚合酶(parp)切割成“216-asp--gly-217”键。剪切并激活碱性螺旋-环-螺旋-亮氨酸拉链域和膜附着域之间的甾醇调节元件结合蛋白(SREBP)。切割并激活caspase-6、-7和-9。参与亨廷顿蛋白的分裂。通过ret分裂触发交感神经细胞的细胞粘附。

 

Subunit:

由两个反平行排列的异二聚体组成的异四聚体,每个异二聚体由一个17kDa(p17)和一个12kDa(p12)亚单位形成。与Birc6/Bruce互动。

 

亚细胞位置:

细胞质。

 

组织特异性:

在肺、脾、心、肝和肾中高度表达。大脑和骨骼肌中含量适中,睾丸中含量较低。也存在于许多细胞系中,在免疫系统的细胞中表达高。

 

翻译后修改:

由颗粒酶B、半胱天冬酶6、半胱天冬酶8和半胱天冬酶10分解产生两个活性亚单位。由于活化的蛋白酶具有自催化活性,因此可能需要对丙烯肽进行额外的加工。caspase-7蛋白酶的小亚单位与caspase-3的大亚单位之间也存在活性异二聚体,反之亦然。

在未受刺激的人类细胞系中,S-亚硝基化在其催化位点半胱氨酸上,并在激活Fas凋亡途径后反硝化,与细胞内caspase活性增加相关。因此,Fas不仅通过诱导半胱天冬酶原分解为其活性亚单位来激活半胱天冬酶-3,而且通过刺激其活性位点硫醇的反硝化作用来激活半胱天冬酶-3。

 

相似性:

属于肽酶C14A家族。

 

重要注意事项:

本产品仅用于研究用途,不用于人类、治疗或诊断应用。

​​​​​​​​​​

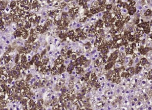
多聚甲醛固定,石蜡包埋(大鼠肝组织);用柠檬酸钠缓冲液(pH6.0)煮沸15min提取抗原;用3%过氧化氢阻断内源过氧化物酶20分钟;阻断缓冲液(正常山羊血清)37℃30min;抗体(活性caspase 3)单克隆抗体,未结合在4°C下1:400过夜,然后根据SP试剂盒(小鼠)说明和DAB染色进行操作。

公司优势:
1)质量:我司提供的的试剂为世界。
2)价格:价格实惠,量大从优。
4)服务:提供完整的售前、售后和售中服务。售后到底。

如需订购活化半胱胺酸蛋白酶蛋白-3单克隆抗体​​​​​​​​​​​​​​​​,请联系我们。

Anti-NKB (Neurokinins B)  神经激肽 B抗体
Anti-NKR(Neuromedin B Receptor)  神经激肽B受体抗体
Anti-NKR/Neurokin B receptor (Neuromedin K receptor/NK-2 receptor)  神经激肽-B受体抗体
Anti-Nm23(DNP Kinase)  肿瘤转移抑制基因抗体
Anti-Nm23-H1 (nucleoside dIPhosphatase kinase A)  肿瘤抑制基因抗体
Anti-Nm23-H2 (nucleoside dIPhosphatase kinase B)  肿瘤抑制基因抗体

留言框

  • 产品:

  • 您的单位:

  • 您的姓名:

  • 联系电话:

  • 常用邮箱:

  • 省份:

  • 详细地址:

  • 补充说明:

  • 验证码:

    请输入计算结果(填写阿拉伯数字),如:三加四=7
分享到:
版权所有©2019 上海晅科生物科技有限公司 备案号:京ICP证000000号
  • 扫一扫,关注我们