英文名称:Anti-Actin, alpha skeletal muscle
中文名称:肌动蛋白α1抗体(ACTA1)
抗体来源:小鼠
克隆类型:单克隆
交叉反应:人、大鼠、小鼠、鸭子
产品应用:WB=1:5000-20000 IHC-P=1:500-1000 IHC-F=1:500-1000 ICC=1:100-500 IF=1:500-1000(石蜡切片需做抗原修复)
尚未在其他应用程序中测试。
用户终应确定合适稀释浓度。
分子量:42kDa
细胞定位:细胞浆
状态:冻干或液体
浓度:1mg/ml
来源于:KLH conjugated synthetic peptide derived from human ACTA1:
亚型:IgG
纯化方法:affinity purified by Protein A
储存液:0.01M TBS(pH7.4) with 1% BSA, 0.03% Proclin300 and 50% Glycerol.
别 名:ACTS_HUMAN; Actin, alpha skeletal muscle; Alpha-actin-1; ACTA1; ACTA; ASMA; CFTD; CFTD1; CFTDM; MPFD; NEM1; NEM2; NEM3; Actin alpha skeletal muscle; actin, alpha 1, skeletal muscle 1; actin, alpha 1, skeletal muscle; actina; actine; aktin; alpha Actin 1; alpha skeletal muscle Actin; alpha skeletal muscle; alpha-actin; Beta cytoskeletal actin; nemaline myopathy type 3.
保存条件:在-20°C下保存一年。避免重复冻融循环。冻干抗体在室温下至少稳定一个月,并在-20°C下保持一年以上。当在无菌pH7.4 0.01M PBS或抗体稀释剂中重组时,抗体在2-4°C下至少稳定两周。
产品介绍
该基因编码的产物属于肌动蛋白家族,是一种高度保守的蛋白质,在细胞的运动、结构和完整性中起着重要作用。α、β和γ肌动蛋白亚型已被鉴定,α肌动蛋白是收缩装置的主要组成部分,而β和γ肌动蛋白参与细胞运动的调节。这种肌动蛋白是骨骼肌中发现的α肌动蛋白。该基因突变可导致3型向列型肌病、先天性肌病(肌丝过细)、先天性肌病(带核)、先天性肌病(纤维型比例失调)、导致肌纤维缺陷的疾病。[参考文献编号:2008年7月]
功能:
肌动蛋白是高度保守的蛋白质,参与各种类型的细胞运动,在所有真核细胞中普遍表达。
Subunit:
球状肌动蛋白(g-肌动蛋白)的聚合形成双链螺旋形式的结构丝(f-肌动蛋白)。每个肌动蛋白能与另外4个肌动蛋白结合。在由acta1、cobl、gsn和tmsb4x组成的复合体中鉴定。与ttid相互作用。(通过其C端)与USP25相互作用;这种相互作用发生于所有USP25亚型,但对USP25亚型肌肉分化细胞。
亚细胞位置:
细胞质,细胞骨架。
翻译后修改:
通过化学(化学1,化学2或化学3)氧化Met-46和Met-49形成蛋氨酸亚砜,促进肌动蛋白丝解聚。化学1和化学2生成(R)-S-氧化物形式。MSRB1和MSRB2还原(R)-S-氧化物形态,促进肌动蛋白再聚合。
Lys-86(K84ME1)处的单甲基化调节肌动蛋白-肌球蛋白相互作用和肌动球蛋白依赖过程。alkbh4脱甲基是维持肌动球蛋白动力学所必需的,在细胞分裂和细胞迁移过程中支持正常的分裂沟的形成。
疾病:
线虫性肌病3(NEM3)【MIM:161800】:一种线虫性肌病。向列线肌病是一种肌肉疾病,其特征是严重程度和发作程度各不相同的肌肉无力,组织学检查显示肌肉纤维中有异常的线状或杆状结构。注=该疾病是由影响本条所述基因的突变引起的。
肌病,肌动蛋白,先天性,肌丝过多(mpcetm)【mim:161800】:一种先天性肌肉疾病,组织学上以缺乏正常肌原纤维和线粒体的肌浆区域为特征,并被密集的细丝团所取代。中心核、棒、红色纤维参差不齐和坏死不存在。注=该疾病是由影响本条所述基因的突变引起的。
先天性肌病,纤维型不成比例(cftd)【mim:255310】:一种遗传异质性疾病,在骨骼肌活检中,1型肌纤维与2型纤维相比有相对的肥大。然而,这些发现并不具体,可以在许多不同的肌病和神经病条件下发现。注=该疾病是由影响本条所述基因的突变引起的。
相似性:
属于肌动蛋白家族。
重要注意事项:
本产品仅用于研究用途,不用于人类、治疗或诊断应用。
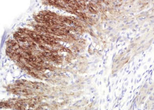
多聚甲醛固定,石蜡包埋(大鼠子宫);用柠檬酸钠缓冲液(pH6.0)煮沸15min后获得抗原;用3%过氧化氢阻断内源过氧化物酶20分钟;阻断缓冲液(正常山羊血清)37℃30min;用(肌动蛋白,α-骨骼肌)单克隆抗体(未结合)3330抗体孵育(3330)8 m-5e9),1:400,在4°C下过夜,接着是共轭二次20分钟,然后DAB染色。
公司优势:
1)质量:我司提供的的试剂为世界。
2)价格:价格实惠,量大从优。
4)服务:提供完整的售前、售后和售中服务。售后到底。
如需订购肌动蛋白α1抗体(ACTA1),请联系我们。
| Anti-Nociceptin 孤菲肽/痛敏肽抗体 |
| Anti-Nociceptin receptor 孤菲肽受体/痛敏肽受体抗体 |
| Anti-Nogo R/NGR 轴索过度生长抑制因子受体/Nogo受体抗体 |
| Anti-Nogo-A 轴索过度生长抑制因子-A抗体 |
| Anti-Nogo-B 轴索过度生长抑制因子-B抗体 |
| Anti-NOS-1/bNOS/neuronal NOS/nNOS(Nitric Oxide synthase-1) 一氧化氮合成酶-1抗体(神经型) |